Un bărbat de 52 de ani din Statele Unite a ajuns la spital după ce migrenele sale, pe care le gestiona de obicei cu analgezice, au devenit brusc imposibil de suportat. Investigațiile imagistice i-au schimbat viața: medicii au identificat în creier leziuni compatibile cu ouă de tenie, diagnosticul fiind cisticercoză — o infecție cauzată de larvele acestui parazit care pot ajunge și în țesutul nervos.
Specialiștii au explicat că, pe lângă riscul asociat consumului de carne de porc insuficient gătită, contaminarea poate fi favorizată și de igiena deficitară a mâinilor. În cazul pacientului, obiceiul de a mânca frecvent șuncă „crudă”, adică preparată necorespunzător, a fost considerat un posibil punct de plecare al infestării.

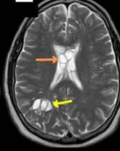
Investigațiile au confirmat prezența cisticercozei
Potrivit medicilor, suspiciunea a apărut după ce durerea de cap s-a intensificat iar tratamentele uzuale nu și-au mai făcut efectul. O serie de tomografii cerebrale a relevat imagini sugestive pentru prezența unor formațiuni parazitare, ceea ce a condus la stabilirea diagnosticului de cisticercoză. Afecțiunea este rară, dar bine documentată: larvele de tenie pot migra și se pot fixa în diverse țesuturi ale corpului, inclusiv în creier.

Bărbatul a relatat că, de-a lungul vieții, a consumat frecvent șuncă pregătită insuficient. Această practică, combinată cu posibile abateri de la regulile elementare de igienă, ridică un risc real de expunere la paraziți. De aceea, medicii au subliniat că respectarea unor măsuri simple în bucătărie și la masă rămâne esențială pentru prevenirea infecțiilor alimentare.
Carnea insuficient gătită, un risc care poate fi evitat
Autoritățile sanitare americane recomandă ca porcul să fie gătit până atinge o temperatură internă de cel puțin 145°F (63°C). În practică, pentru un produs precum șunca — fiind subțire și găsindu-se adesea în felii fine — aprecierea corectă a temperaturii poate fi dificilă fără un termometru culinar. Totuși, dacă este preparată până devine crocantă, se consideră, în general, că a ajuns la un nivel termic sigur.

Pe lângă tratamentul termic adecvat, medicii reamintesc câteva reguli utile în orice bucătărie: spălarea mâinilor înainte de a găti sau a mânca, curățarea temeinică a ustensilelor și tocătoarelor după contactul cu carnea crudă și evitarea contaminării încrucișate între alimentele crude și cele gata pentru consum. Astfel de măsuri reduc considerabil probabilitatea ca agenții patogeni să ajungă în farfurie.

Cazul pacientului de 52 de ani readuce în atenție faptul că o migrenă care își schimbă brusc intensitatea sau frecvența merită investigată medical. În situația sa, imaginile de tomografie au fost decisive, iar discuția despre tenie, igiena mâinilor și gătirea corectă a cărnii de porc rămâne relevantă pentru oricine obișnuiește să consume șuncă „crudă”.